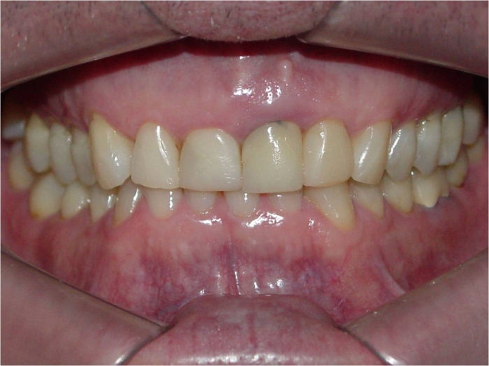
Sorriso inicial
Raio x panorâmico inicial
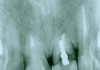
Raio x do dente 21 fraturado
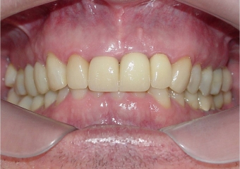
Mordida inicial
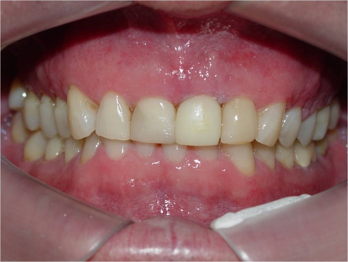
Mordida com prótese provisória fixa sobre implante
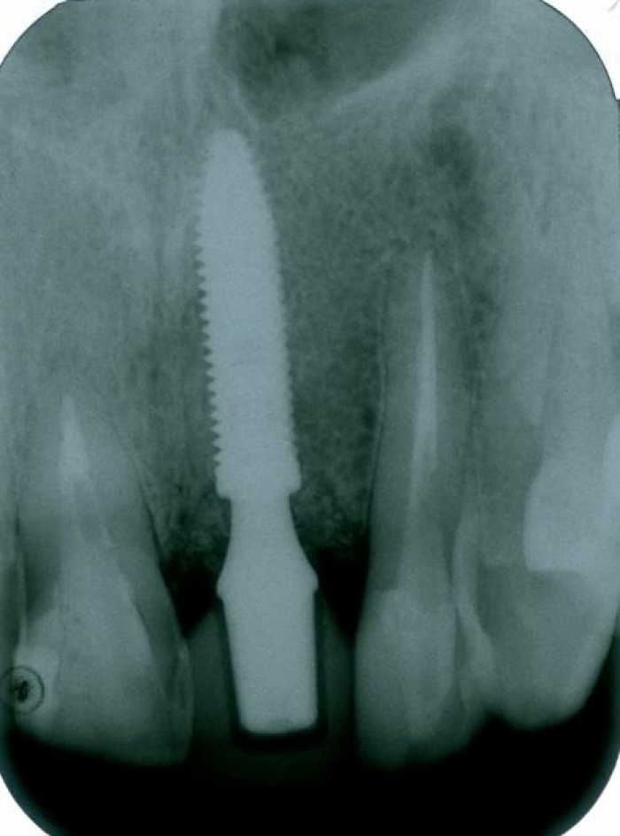
Raio x com prótese provisória fixa sobre implante
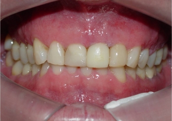
Imagem final, do caso terminado em setembro de 2013
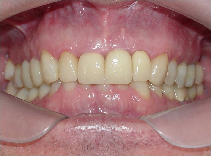
Sorriso final
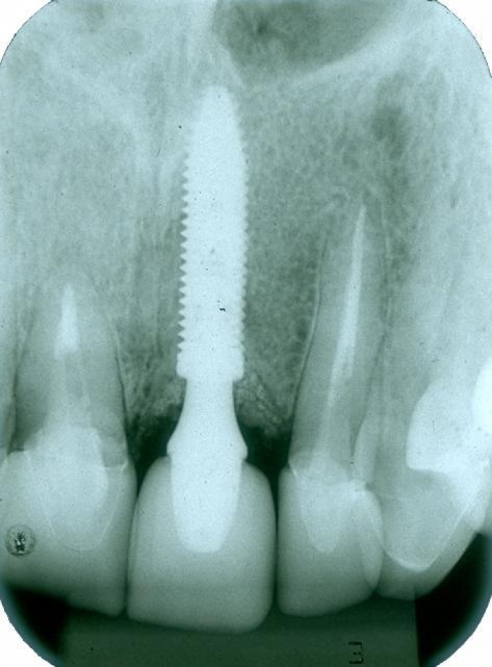
Raio x final