CASOS CLÍNICOS - Implantes Cone Morse - Reabilitação Unitária com Implantes


Caso 17

Clique nas imagens para ampliar

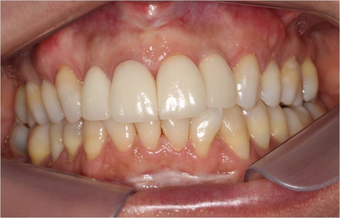
Sorriso inicial - Clínica Cliniface

Sorriso inicial

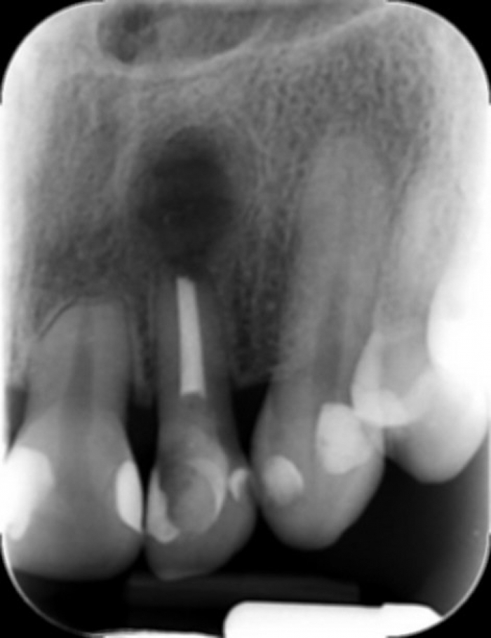
Raio x inicial com presença de lesão periapical no incisivo lateral superior esquerdo - Clínica Cliniface

Raio x inicial com presença de lesão periapical no incisivo lateral superior esquerdo

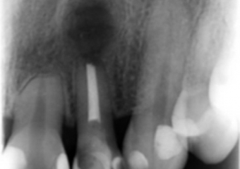
Raio x após curetagem da lesão e plastia apical do dente 22 - Clínica Cliniface

Raio x após curetagem da lesão e plastia apical do dente 22

Raio x após extração do dente 22 por fratura de raiz, e instalação do implante Cone Morse - Clínica Cliniface

Raio x após extração do dente 22 por fratura de raiz, e instalação do implante Cone Morse

Imagem do dente provisório fixo sobre o implante - Clínica Cliniface

Imagem do dente provisório fixo sobre o implante

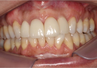
Imagem final da prótese em porcelana instalada sobre o implante - Clínica Cliniface

Imagem final da prótese em porcelana instalada sobre o implante

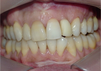
Sorriso final, do caso terminado em Agosto de 2014 - Clínica Cliniface

Sorriso final, do caso terminado em Agosto de 2014



Praça da Bíblia, 3336 | Edf. Cemed - Sala 601 | Umuarama - Pr | 44 3622-6161