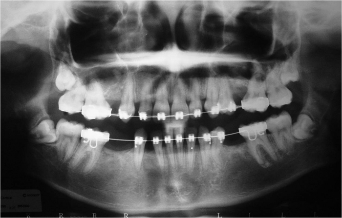
Raio x inicial, com agenesia de dentes permanentes
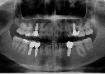
Raio após implantes instalados
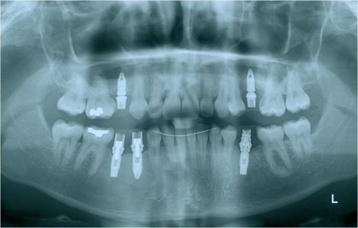
Raio x após dentes provisórios fixos instalados
Raio x final
Imagem inicial
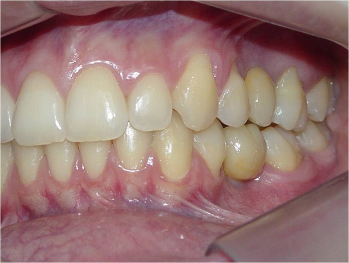
Imagem final
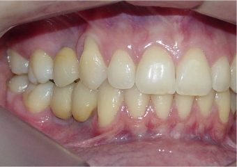
Imagem inicial
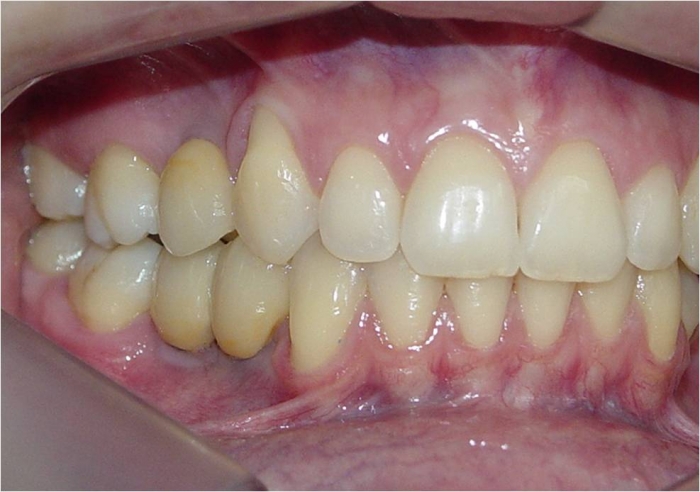
Dentes de porcelana instalados sobre implantes
Imagem inicial
Dentes de porcelana instalados sobre implantes
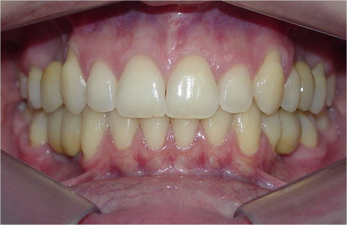
Sorriso inicial
Sorriso final, do caso terminado em Julho de 2014