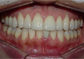
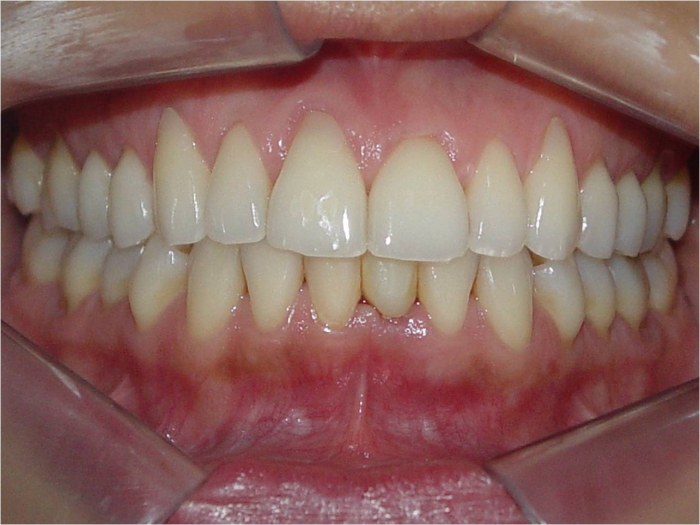
Imagem inicial
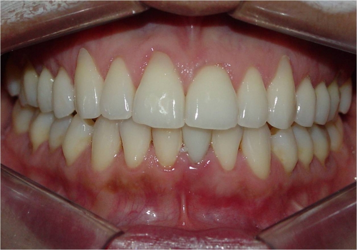
Imagem inicial do incisivo central inferior esquerdo fraturado
Raio x panorâmico inicial
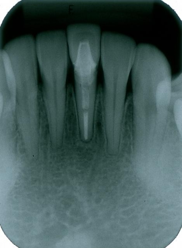
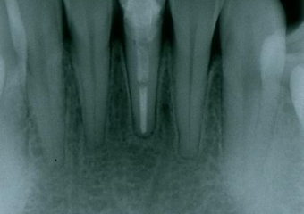
Raio x inicial
Raio x após extração e instalação do implante e dente provisório imediato
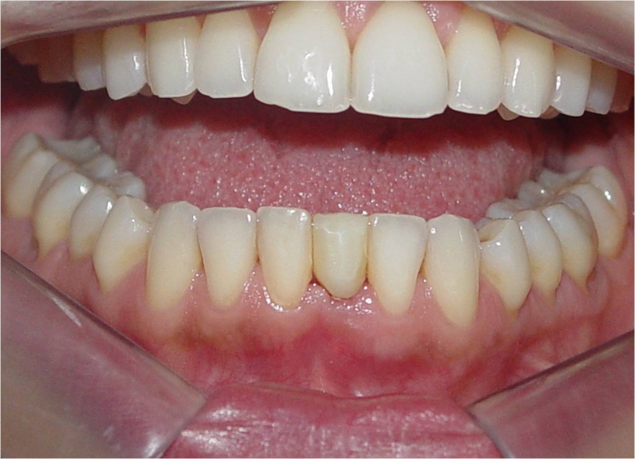
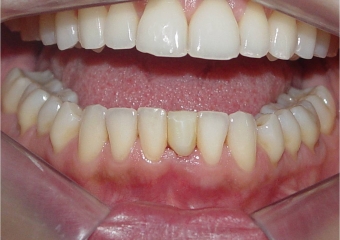
Imagens do dente provisório fixo imediato, no implante Cone Morse Facility