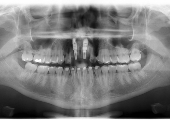
Raio - x Inicial 2013
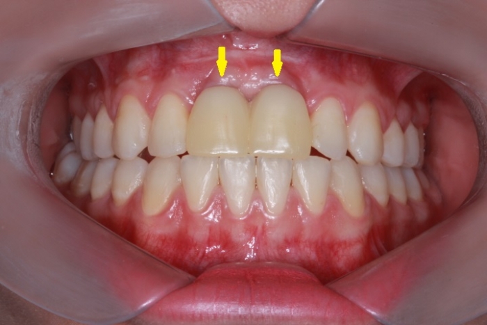
Imagem Inicial 2014
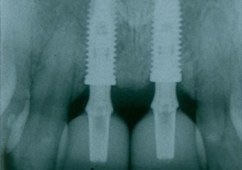
Raio x em 2014, após enxerto em bloco com osso da mandíbula.
Imagem após enxerto ósseo
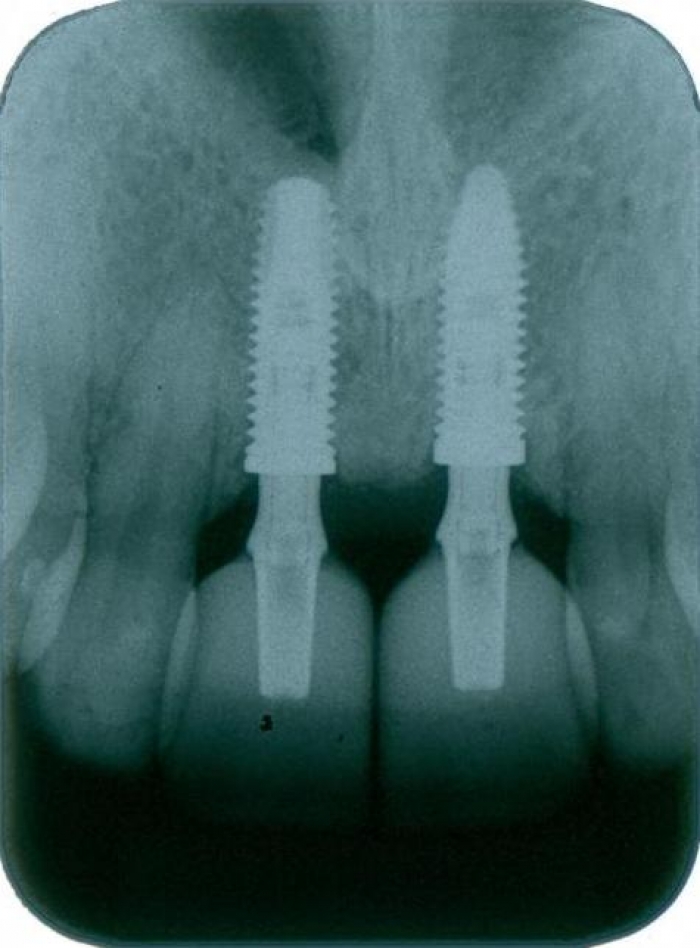
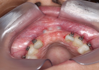
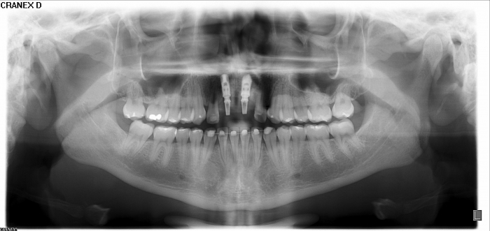
Rx Panorâmico dos implantes com prótese provisória
Protese Provisória sobre os implantes
IImagem com as próteses definitivas em porcelana
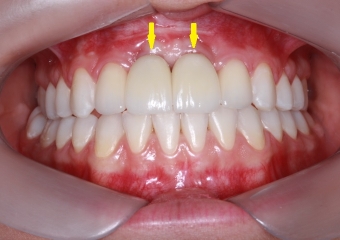
Próteses Definitivas em Porcelana
Sorriso Final, em 2016