Raio- x Panorâmico inicial, em 2015
Imagem Inicial, em Junho de 2015
Imagem do implante instalado, com provisório imediato
Imagem do Provisório imediato, em Junho de 2015
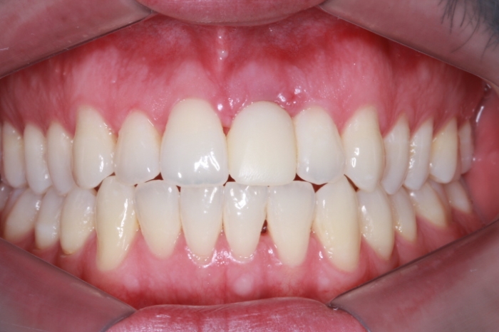
Imagem Final - Prótese Definitiva em Porcelana, em Novembro de 2015
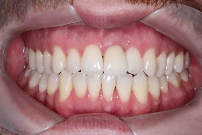
Sorriso Final, Novembro de 2015