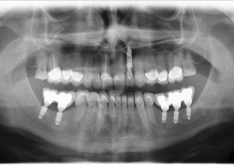
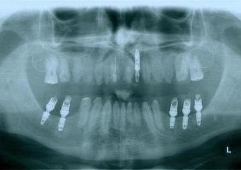
Raio - x inicial em 2014
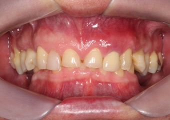
Imagem inicial em 2014
Implantes instalados, em Setembro de 2014
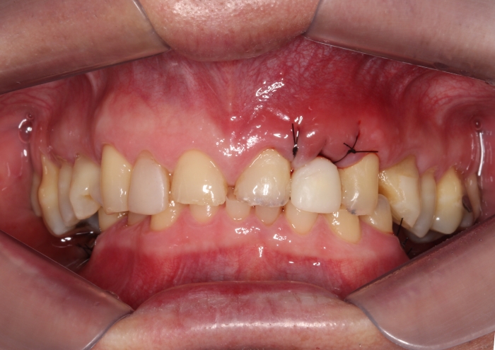
Provisório imediato Superior, em 2014
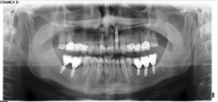
Raio - x Próteses provisórias, em 2015
Próteses Provisórias, em 2015
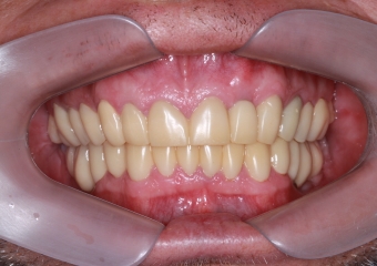
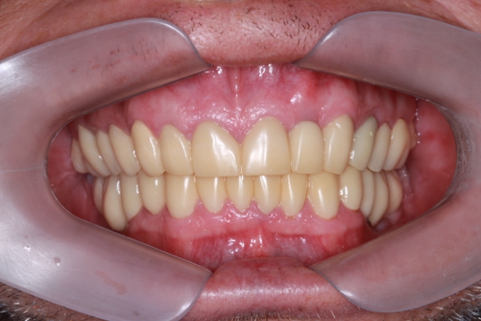
Imagem Próteses Definitivas em Setembro de 2016
Próteses Definitivas e Facetas em Porcelana, em Setembro de 2016
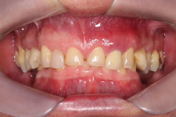
Sorriso inicial, em 2014
Sorriso Final, em 2016