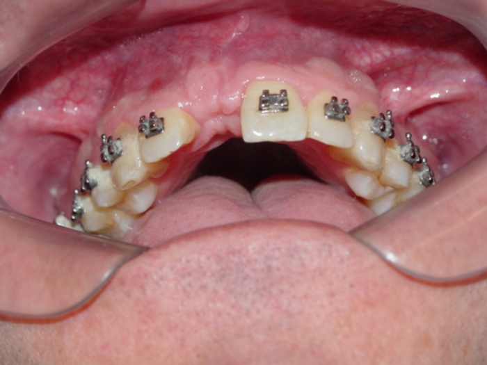
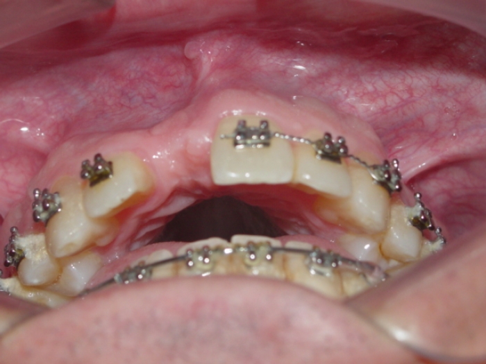
Imagem inicial
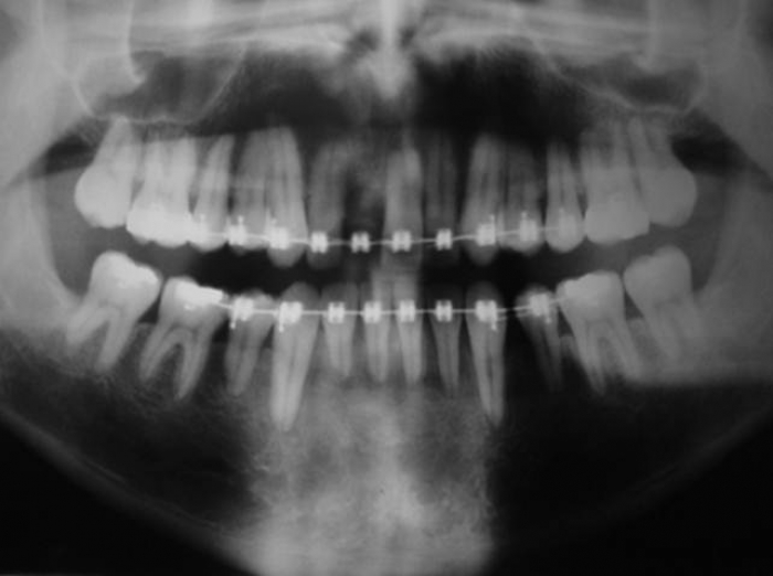
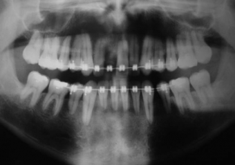
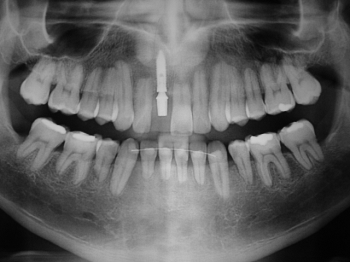
Raio X inicial
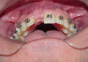
Imagem inicial
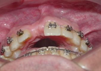
Imagem após enxerto ósseo
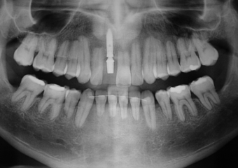
Raio X com implante e prótese provisória
Rx com prótese fixa em porcelana
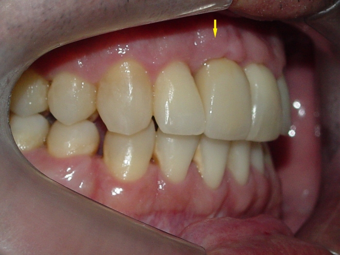
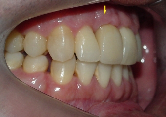
Imagens do caso com prótese fixa em porcelana
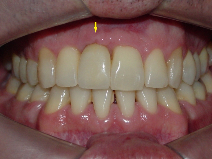
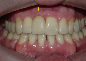
Sorriso final, do caso terminado em julho de 2012
Raio X final