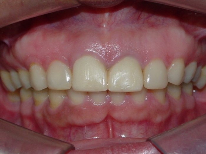
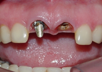
Imagens do caso inicial, com presença de fratura radicular do dente 21
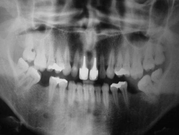
Raio X inicial
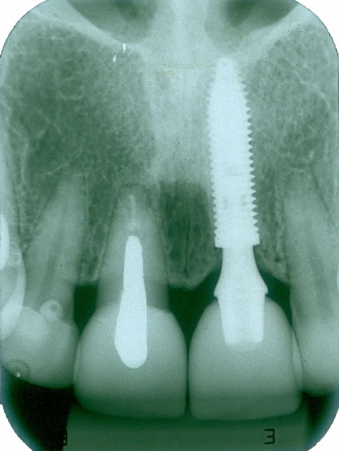
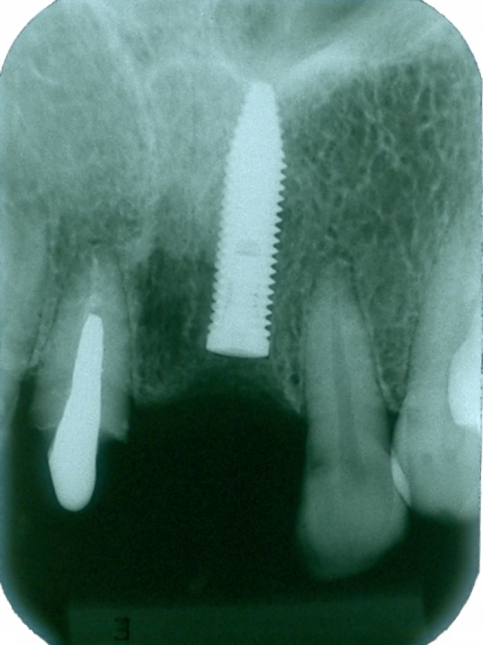
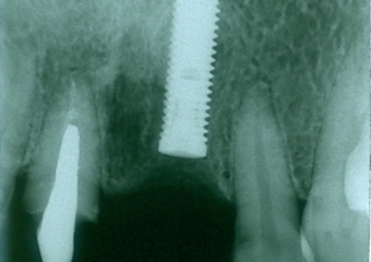
Raio X do implante
Raio X da prótese fixa em porcelana
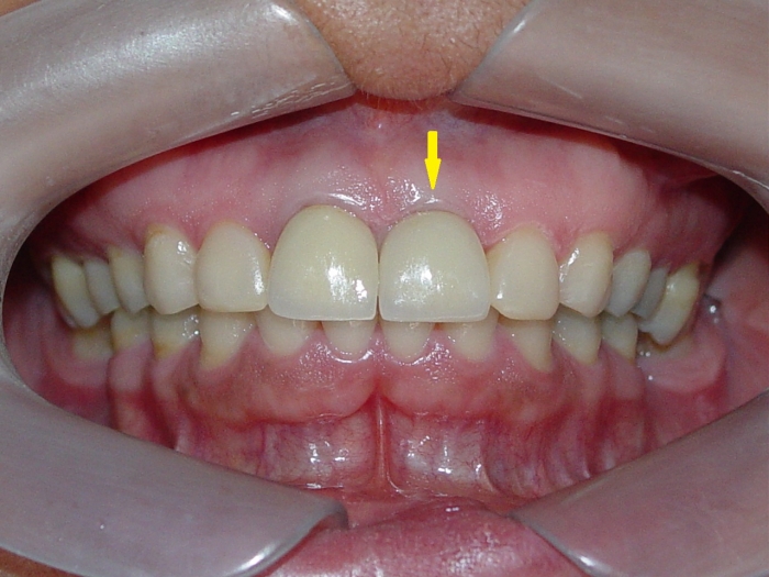
Prótese fixa em porcelana sobre implante Cone Morse
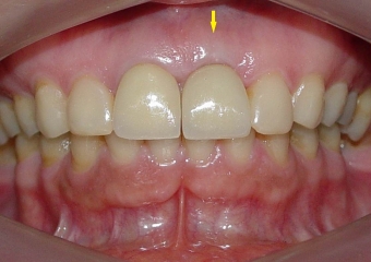
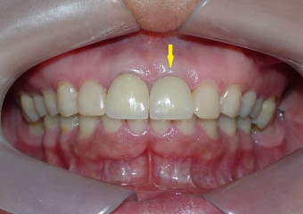
Sorriso final, do caso terminado em outubro de 2011
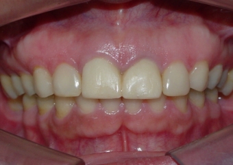
Sorriso Final, Controle em 2013