Agende um horário
Clique nas imagens para ampliar
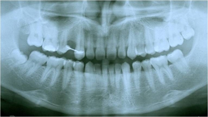
Raio X inicial
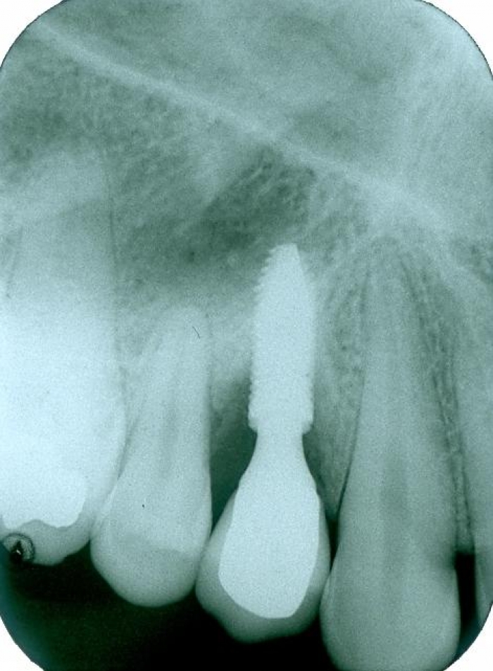
Raio X do implante Cone Morse
Raio X da prótese fixa de porcelana sobre o implante
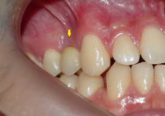
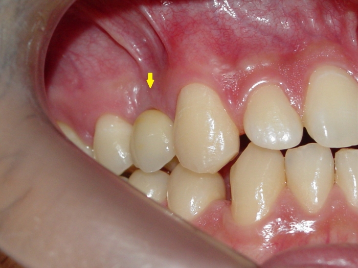
Imagens do caso terminado, em novembro de 2011
Praça da Bíblia, 3336 | Edf. Cemed - Sala 601 | Umuarama - Pr | 44 3622-6161