Agende um horário
Clique nas imagens para ampliar
Imagem inicial
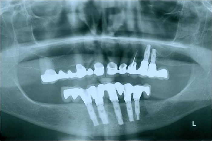
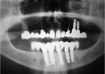
Raio X inicial
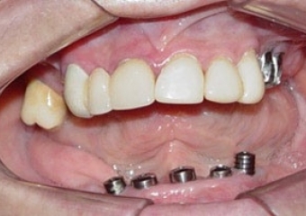
Imagem Implantes Instalados
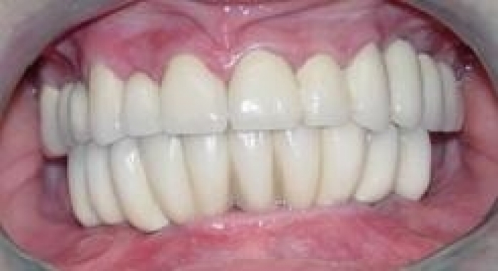
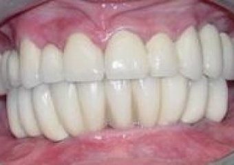
Sorriso final, do caso terminado em Junho de 2006
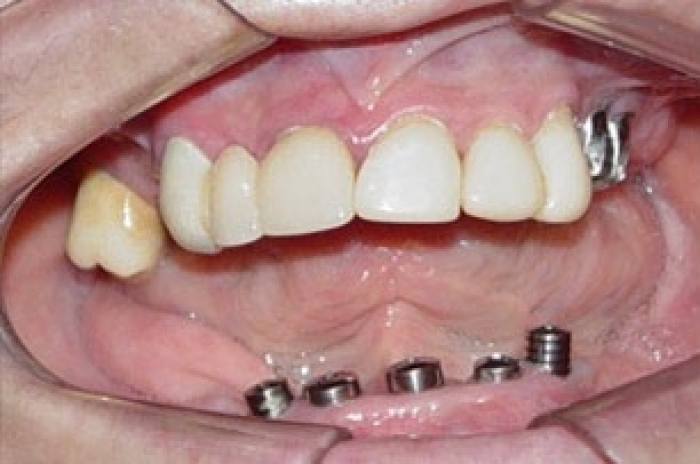
Imagem Final Intra Oral
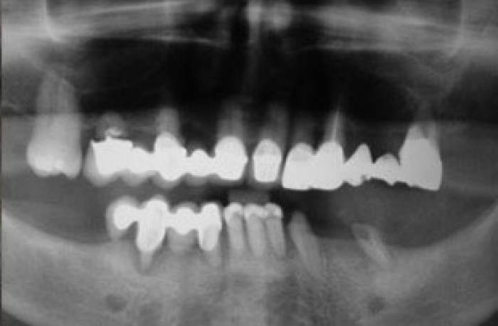
Raio X de controle, realizado em Setembro de 2008
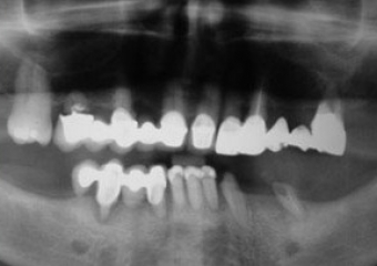
Raio X de controle, realizado em Março de 2012
Praça da Bíblia, 3336 | Edf. Cemed - Sala 601 | Umuarama - Pr | 44 3622-6161