Agende um horário
Clique nas imagens para ampliar
Imagem inicial
Sorriso com Dentadura
Raio X inicial
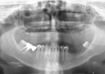
Raio X com Implantes Instalados
Imagem final do caso terminado em 2006
Sorriso com prótese fixa de porcelana sobre implantes
Praça da Bíblia, 3336 | Edf. Cemed - Sala 601 | Umuarama - Pr | 44 3622-6161