Agende um horário
Clique nas imagens para ampliar
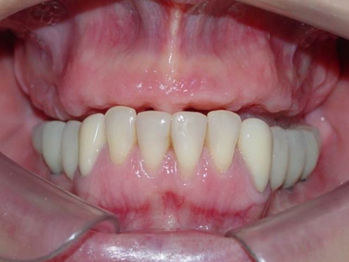
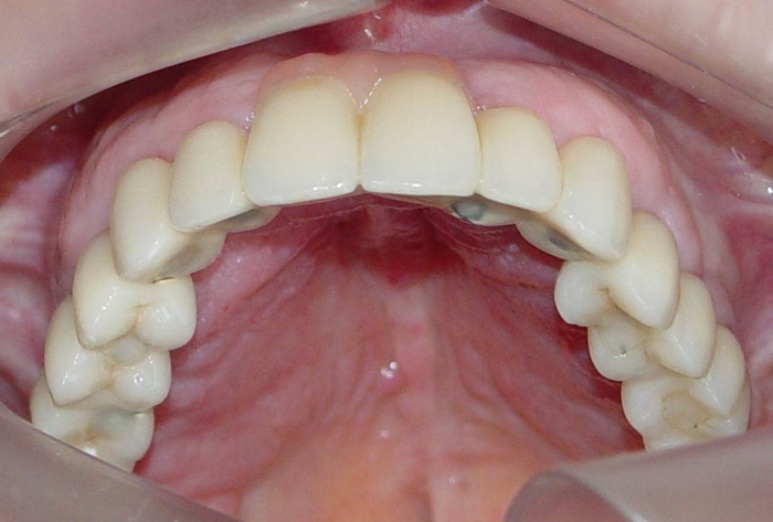
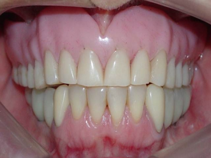
Imagens iniciais
Raio X com implantes Cone Morse superiores e próteses provisórias
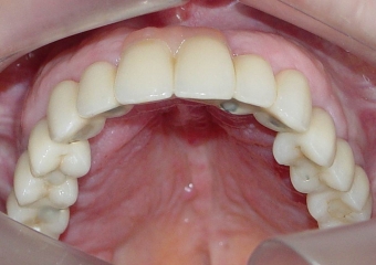
Imagens da prótese fixa superior em porcelana sobre implantes Cone Morse
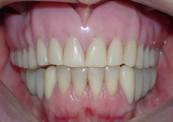
Sorriso inicial
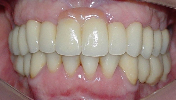
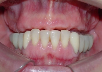
Sorriso final do caso terminado em março de 2012
Raio X final
Praça da Bíblia, 3336 | Edf. Cemed - Sala 601 | Umuarama - Pr | 44 3622-6161