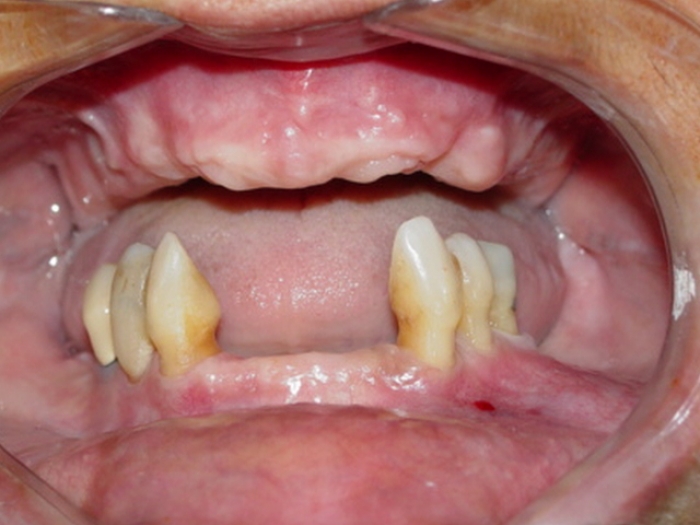
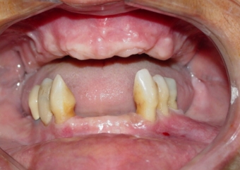
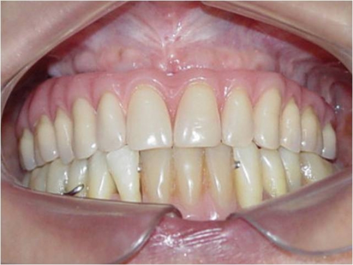
Imagem inicial
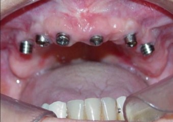
Imagem dos Implantes Superiores Instalados
Raio X inicial
Raio X dos Implantes Instalados
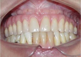
Prótese fixa em resina sobre implantes, do caso terminado em Dezembro de 2007
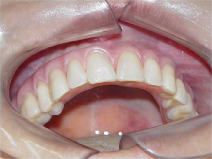
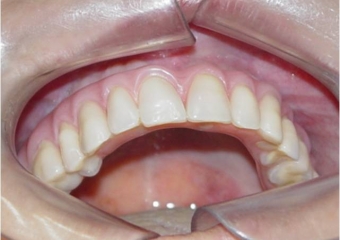
Sorriso final
Raio X final
Raio X de controle, realizado em Junho de 2013