Agende um horário
Clique nas imagens para ampliar
Imagem inicial
Imagem final
Imagem perfil inicial
Imagem perfil final
Raio X inicial
Raio X final
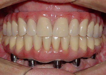
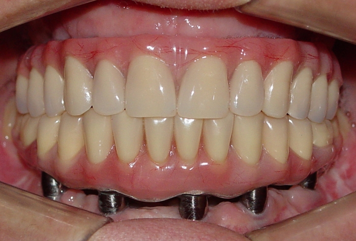
Próteses fixas superior e inferior, sobre implantesdo caso finalizado em janeiro de 2011
Sorriso final
Praça da Bíblia, 3336 | Edf. Cemed - Sala 601 | Umuarama - Pr | 44 3622-6161