Agende um horário
Clique nas imagens para ampliar
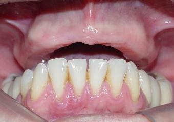
Imagens iniciais
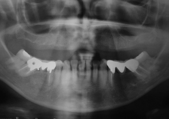
Raio X inicial
Raio X com a prótese fixa em resina, sobre implantes Cone Morse
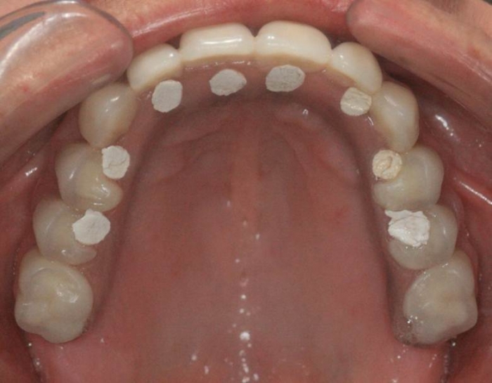
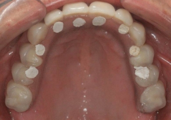
Prótese fixa em resina sobre implantes, restaurada provisoriamente
Sorriso final do caso terminado em junho de 2011
Praça da Bíblia, 3336 | Edf. Cemed - Sala 601 | Umuarama - Pr | 44 3622-6161