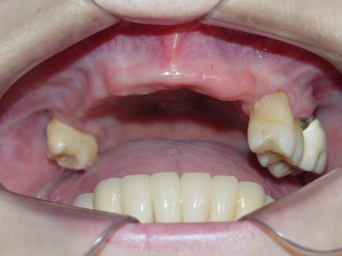
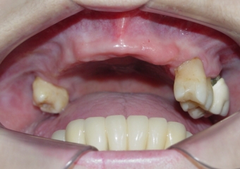
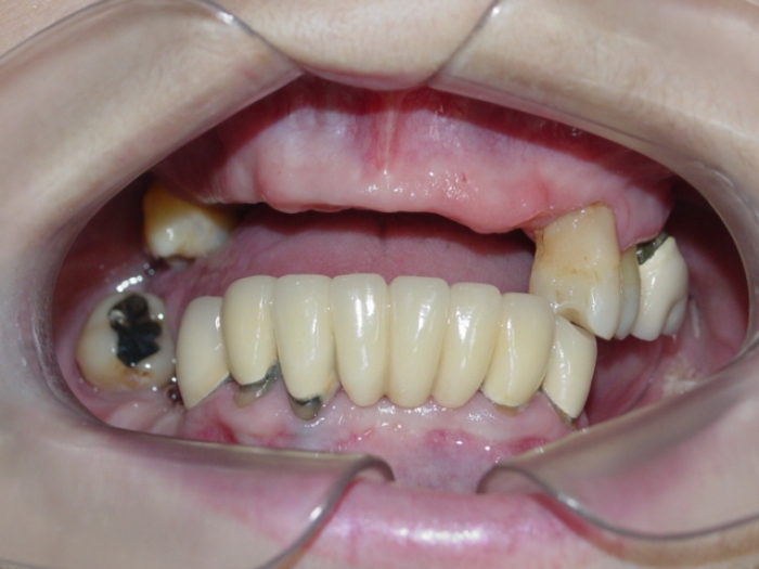
Imagens iniciais
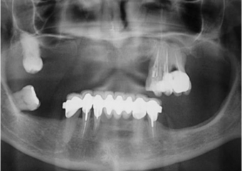
Raio X inicial
Rx após extração dos dentes e instalação de 05 implantes e prótese fixa imediata
Raio X dos implantes superiores
Raio X das próteses sobre implantes superiores e inferiores
Sorriso final do caso terminado em abril de 2012