Imagem inicial
Raio X inicial
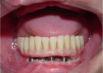
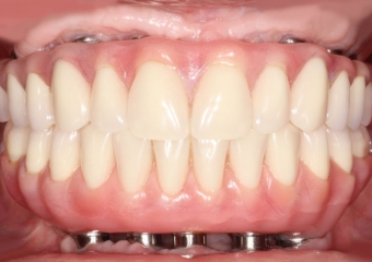
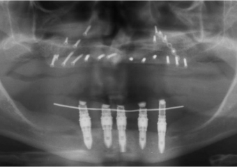
Imagens dos implantes inferiores e prótese fixa provisória imediata
Rx do enxerto ósseo de maxila, com osso de crista ilíaca
Rx dos implantes Cone Morse superiores
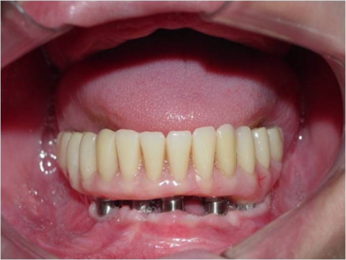
Próteses fixas em resina superior e inferior sobre implantes
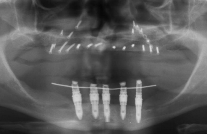
Raio X final
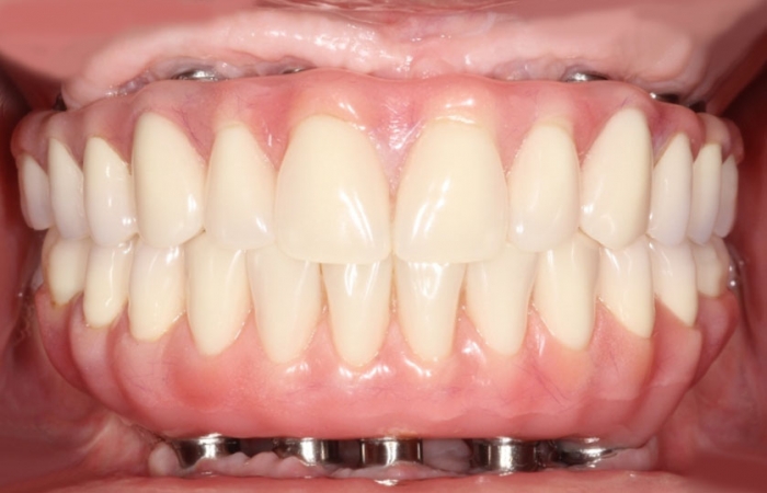
Sorriso final do caso terminado em setembro de 2012