Rx Panorâmica inicial - 2014
Tomografia - caninos inclusos
Caninos decíduos (de leite)
Cirurgia com fio de aço instalado para tracionamento dos caninos permanentes
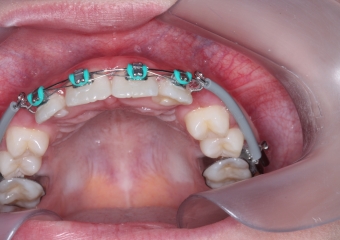
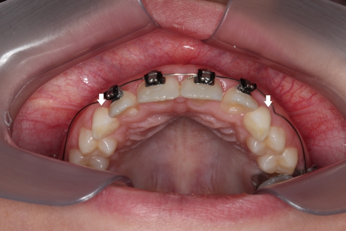
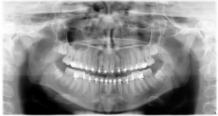
Dentes em tracionamento
Rx Panorâmica - 2018, com os caninos em posição
Sorriso final - 2019
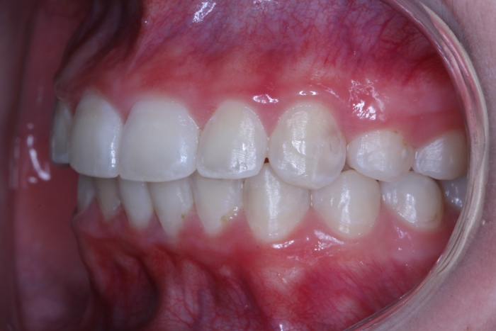
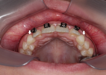
Intra oral Final - 2019
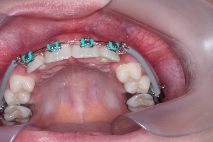
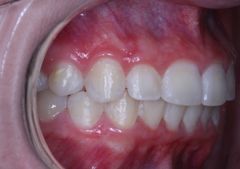
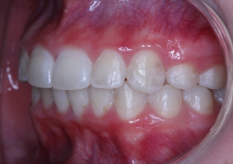
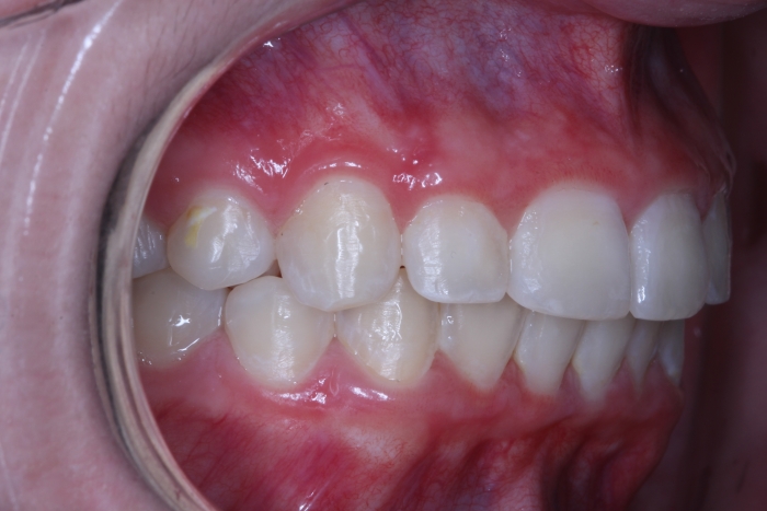
Lateral final - 2019
Lateral final - 2019