CASOS CLÍNICOS - Tracionamento


Caso 02 - Segundo molar inferior

Clique nas imagens para ampliar

Sorriso Inicial - Clínica Cliniface

Sorriso Inicial

Rx Panorâmico Inicial - Clínica Cliniface

Rx Panorâmico Inicial

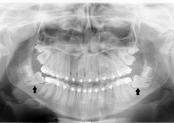
Rx Panorâmico - Pré cirúrgico, com os elementos 37 e 47 impactados - Clínica Cliniface

Rx Panorâmico - Pré cirúrgico, com os elementos 37 e 47 impactados

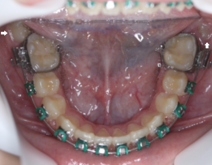
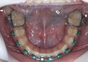
Oclusal inferior com segundos molares em posição inadequada - Clínica Cliniface

Oclusal inferior com segundos molares em posição inadequada

Extração dos 4 terceiros molares   - Instalação de placas de ancoragem - Clínica Cliniface

Extração dos 4 terceiros molares - Instalação de placas de ancoragem

Extração dos 4 terceiros molares  - Instalação de placas de ancoragem - Clínica Cliniface

Extração dos 4 terceiros molares - Instalação de placas de ancoragem

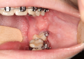
Dentes em tracionamento, imediatamente após a cirurgia - Clínica Cliniface

Dentes em tracionamento, imediatamente após a cirurgia

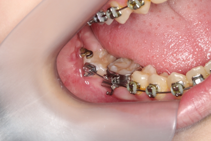
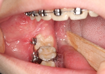
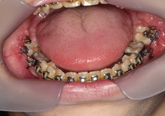
Elementos 37 e 47, respondendo bem ao tracionamento - Clínica Cliniface

Elementos 37 e 47, respondendo bem ao tracionamento

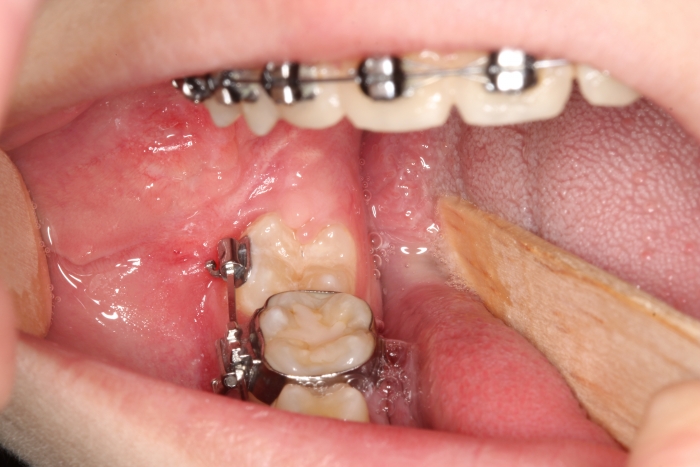
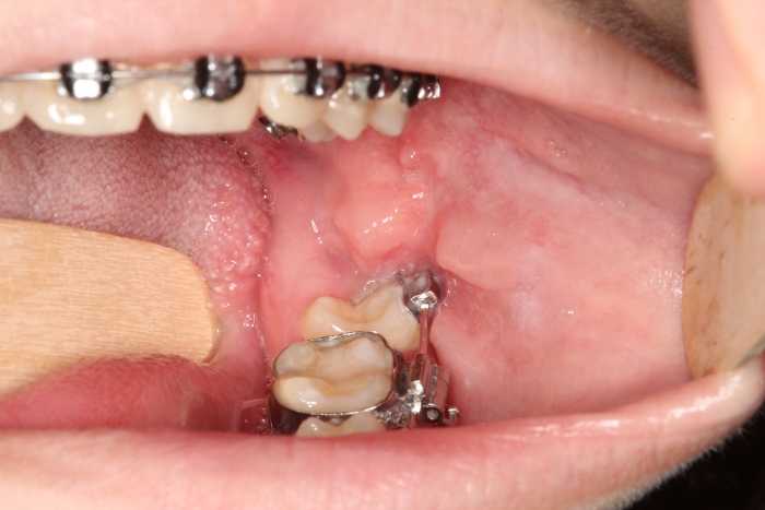
Elemento 47, já em posição habitual - Clínica Cliniface

Elemento 47, já em posição habitual

Elemento 37, já em posição habitual - Clínica Cliniface

Elemento 37, já em posição habitual

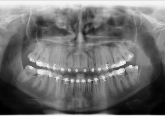
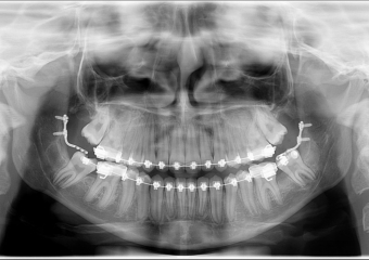
Rx Panorâmico, com os dentes em fase final de tracionamento - Clínica Cliniface

Rx Panorâmico, com os dentes em fase final de tracionamento

Rx Panorâmico Final, dentes totalmente posicionados e placas removidas - Clínica Cliniface

Rx Panorâmico Final, dentes totalmente posicionados e placas removidas

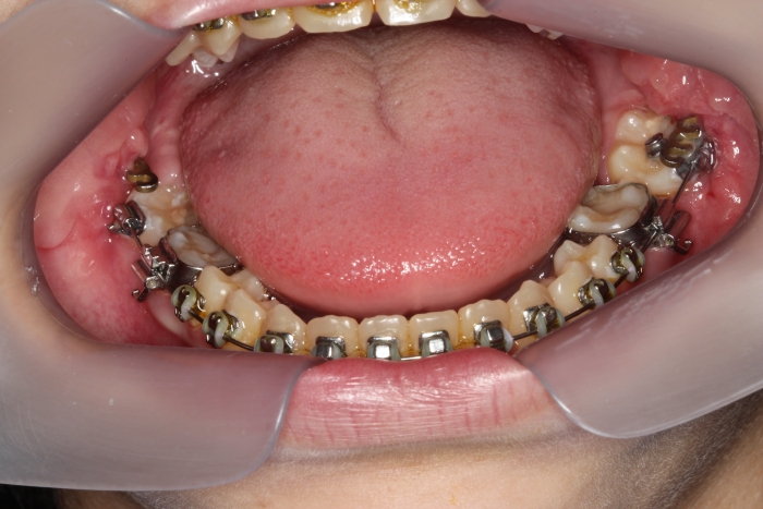
Paciente na fase final da ortodontia - Clínica Cliniface

Paciente na fase final da ortodontia

Paciente na fase final da ortodontia - Clínica Cliniface

Paciente na fase final da ortodontia



Praça da Bíblia, 3336 | Edf. Cemed - Sala 601 | Umuarama - Pr | 44 3622-6161