CASOS CLÍNICOS - Tracionamento


Caso 03 - Canino

Clique nas imagens para ampliar

Tomografia - Caninos inclusos e intra-ósseos - Clínica Cliniface

Tomografia - Caninos inclusos e intra-ósseos

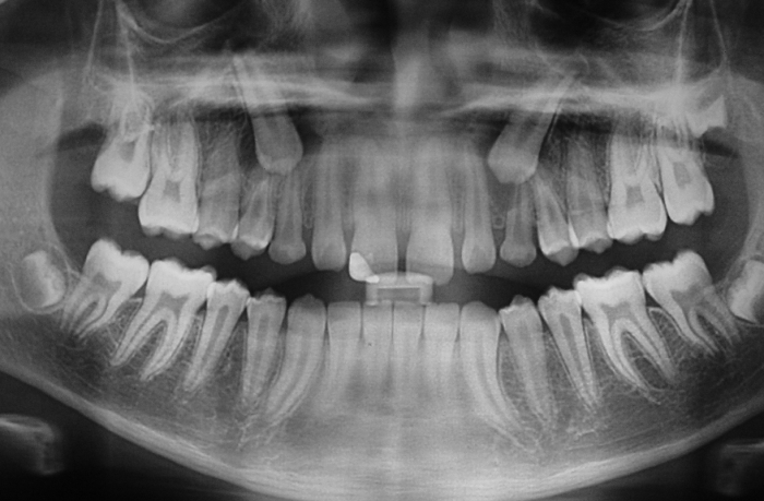
Rx Panorâmico - Caninos inclusos e intra-ósseos - Clínica Cliniface

Rx Panorâmico - Caninos inclusos e intra-ósseos

Rx Panorâmico - Caninos respondendo ao tracionamento - Clínica Cliniface

Rx Panorâmico - Caninos respondendo ao tracionamento

Rx Panorâmico - Caninos respondendo ao tracionamento - Clínica Cliniface

Rx Panorâmico - Caninos respondendo ao tracionamento

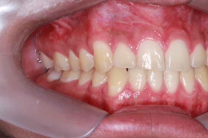
Intra oral - Caninos em posição - Clínica Cliniface

Intra oral - Caninos em posição

Sorriso - Caninos em posição - Clínica Cliniface

Sorriso - Caninos em posição

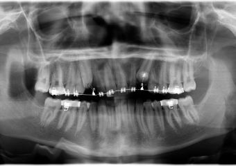
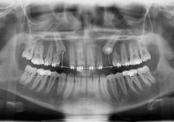
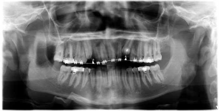
Rx Panoramico - Tracionamento finalizado - Clínica Cliniface

Rx Panoramico - Tracionamento finalizado

Sorriso com tratamento ortodôntico finalizado  - Clínica Cliniface

Sorriso com tratamento ortodôntico finalizado

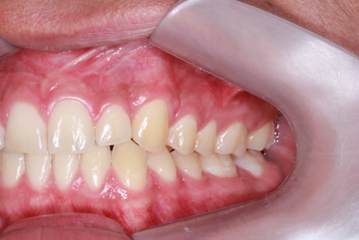
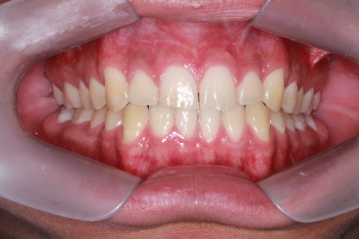
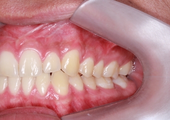
Intra oral com tratamento ortodôntico finalizado 03/16 - Clínica Cliniface

Intra oral com tratamento ortodôntico finalizado 03/16

com tratamento ortodôntico finalizado  - Clínica Cliniface

com tratamento ortodôntico finalizado

com tratamento ortodôntico finalizado  - Clínica Cliniface

com tratamento ortodôntico finalizado



Praça da Bíblia, 3336 | Edf. Cemed - Sala 601 | Umuarama - Pr | 44 3622-6161